Artikel

Patientenstory Sabine Vorschau
arrow up right 4

Gutartig, aber nicht harmlos. Meningeome im Fokus.

akustikusneurinom fallbeispiel
arrow up right 4

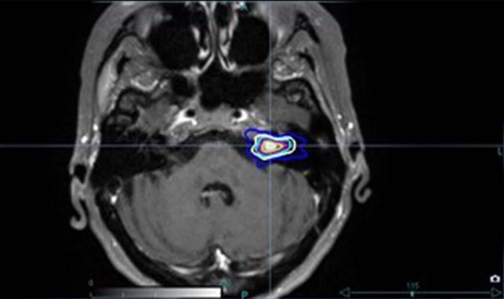
Das Akustikusneurinom.

Beratungsgespraecht Elmar
arrow up right 4

Cyberknife gegen Prostatakrebs